Povratak na
Telegraf.rs
Naslovna
Emisije
Muzika
Sport
Tema : čišćenje
0:38
0
Vesti
Tuga koliko smeća: Počinju radovi na čišćenju Potpećkog jezera
1:23
0
Zanimljivosti
Ovo bi svi trebalo da naučimo pse: Uneredio je kuću, ali je počistio sve za sobom
1:13
0
Život & Stil
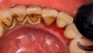
Zubar pokazao šta se dešava sa vilicom ako ne čistite kamenac
0:47
0
Biznis
Težak vam posao? A šta mislite kako je čistiti led sa mosta koji ide preko okeana
0:57
0
Život & Stil
Bizarno: Lice čiste zapaljenim fišekom
0:55
0
Vesti
Čišćenje priobalja od Kule Nebojša do "Marine Dorćol"
0:49
0
Vesti
Evo šta je ostalo posle sukoba policije i huligana u Beogradu
2:10
0
Vesti
Entuzijasti iz Smedereva sređuju park i igralište: Izbacili 5 kamiona smeća, sami prave ljuljaške
0:44
0
Vesti
Ugledajmo se na njih: Najmlađi Borčanci čiste svoj omiljeni park
0:49
0
Život & Stil
Kako održavati kuhinju čistu u doba korona virusa
0:34
0
Vesti
Palo je temeljno ribanje: Dezinfekcija beogradskih autobusa zbog korona virusa
0:23
0
Život & Stil
Nek rerna zablista kao da je nova: Potrebne su vam samo dve stvari i sigurno ih već imate u kući!
1:10
0
Vesti
Vojnike posle demonstracija pretvorili u - čistačice
0:29
0
Zanimljivosti
Svaki dan provedemo ovde neko vreme, a ne znamo koje je to leglo štroke
1:02
0
Hi-Tech / Auto
Upoznajte robotski usisivač iRobot Roomba i7+
0:55
0
Hi-Tech / Auto
Upoznajte robotski usisivač iRobot Roomba e5158
0:51
0
Hi-Tech / Auto
Upoznajte robotski usisivač iRobot Roomba 980
1:48
0
Vesti
Ušli smo u Borču i zatekli radnike koji čiste kanale
1
2
3
4